Προσοχή! Τί κίνδυνο αποκαλύπτουν αυτά τα σημάδια στα μάτια (φωτό)
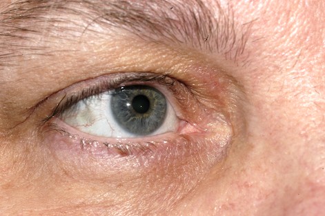
Εάν παρατηρήσετε κάποιες μαλακές ή σκληρές κίτρινες κηλίδες στις εσωτερικές γωνίες των βλεφάρων σας, μπορεί να έχετε ξανθελάσματα. Πρόκειται για σημάδια που αποτελούνται από χοληστερόλη που είναι κάτω από το δέρμα σας.
Ένα ξανθέλασμαδεν αποτελεί άμεσο πρόβλημα, εντούτοις αν σας ενοχλεί στην όραση, υπάρχουν θεραπείες με τις οποίες μπορείτε να απαλλαγείτε από αυτό.
Ακόμα κι αν το ξανθέλασμα από μόνο του δεν θα σας βλάψει ιδιαίτερα, θα μπορούσε να είναι ένα σημάδι ότι είστε σε υψηλότερο κίνδυνο για καρδιακή νόσο. Γι ‘αυτό μην αγνοήσετε ποτέ αυτή την κατάσταση του δέρματος. Επικοινωνήστε άμεσα με τον γιατρό σας για τις απαραίτητες εξετάσεις.
Ποιοι βγάζουν ξανθελάσμα;
Η πάθηση αυτή είναι σπάνια, αλλά μπορεί να την πάθετε εάν έχετε υψηλά επίπεδα χοληστερόλης ή των άλλων λιπιδίων στο αίμα σας. Είναι, ωστόσο, δυνατό να βγάλετε ξανθελάσματα, ακόμη και αν τα επίπεδα χοληστερόλης σας είναι φυσιολογικά.
Οι περισσότεροι άνθρωποι με ξανθέλασμα είναι μεσήλικες ή ηλικιωμένοι. Είναι γενικά πιο συχνό φαινόμενο στις γυναίκες παρά στους άνδρες.
Αιτίες
Περίπου τα μισά από τα άτομα με ξανθέλασμα έχουν υψηλή χοληστερόλη. Είναι πιο πιθανό να βγάλετε ξανθέλασμα, εάν έχετε:
- Υψηλή LDL (“κακή”) χοληστερόλη ή χαμηλή HDL (“καλή”) χοληστερόλη
- Κληρονομική υψηλή χοληστερόλη (οικογενής υπερχοληστερολαιμία)
- Ηπατική νόσος ή αλλιώς πρωτοπαθής χολική κίρρωση, η οποία μπορεί να αυξήσει τα επίπεδα χοληστερόλης στο αίμα
Τα ξανθελάσματα είναι πιο συχνή σε άτομα των οποίων οι οικογένειες είναι από την Ασία ή τη Μεσόγειο.
Αντιμετώπιση
Ένα ξανθέλασμα συνήθως δεν θα φύγει από μόνο του. Είτε θα παραμείνει στο ίδιο μέγεθος ή θα μεγαλώνει με την πάροδο του χρόνου. Ο γιατρός σας μπορεί να αφαιρέσει ένα ξανθέλασμα με μία από αυτές τις μεθόδους:
- Διάλυση του ξανθελάσματος με φάρμακο, όπως διχλωροασετικό οξύ ή τριχλωροξικό οξύ
- Πάγωμα του ξανθελάσματος και απομάκρυνσή του (κρυοχειρουργική)
- Αφαίρεση με λέιζερ
- Χειρουργική επέμβαση αποκοπής του ξανθελάσματος
Αυτές οι θεραπείες λειτουργούν καλά, αλλά μπορούν να προκαλέσουν παρενέργειες, όπως ουλές, αλλαγές χρώματος του δέρματος, και κάμψη του βλεφάρου. Τα ξανθελάσματα μπορεί να επανεμφανιστούν, ειδικά αν έχετε κληρονομική υψηλή χοληστερόλη.
Πότε να δείτε ένα γιατρό
Έρευνες δείχνουν ότι το ξανθέλασμα μπορεί να είναι ένα πρώιμο προειδοποιητικό σημάδι ανεβασμένης χοληστερόλης στα αιμοφόρα αγγεία σας.
Με την πάροδο του χρόνου, η συσσώρευση χοληστερόλης μπορεί να σχηματίσει σκληρές, κολλώδεις πλάκες στις αρτηρίες σας. Αυτή η συσσώρευση ονομάζεται αθηροσκλήρωση, και αυτό μπορεί να οδηγήσει σε καρδιακή νόσο, καρδιακή προσβολή, ή εγκεφαλικό επεισόδιο.
Τα ξανθελάσματα μπορεί επίσης να συνδέονται με άλλους κινδύνους καρδιακής νόσου, όπως:
- Διαβήτης
- Υψηλή πίεση του αίματος
- Παχυσαρκία
- Κάπνισμα
Εάν παρατηρήσετε μικρά κίτρινα εξογκώματα στα βλέφαρά σας και θέλετε να τα αφαιρέσετε, επισκεφθείτε ένα δερματολόγο. Επίσης, επισκεφθείτε το γιατρό σας για εξετάσεις για τα επίπεδα της χοληστερόλης σας, την αρτηριακή σας πίεση, και άλλους καρδιακούς κινδύνους, ώστε να ξέρετε τι πρέπει να κάνετε για να τους αντιμετωπίσετε.
Πηγή:iatropedia

